For Doctors
Become a certified Truline Dentist

You can easily apply to become a certified Truline Dentist.
Take our complimentary online course
Get Certified
Take the course online exam
and get certified.
Free Truline Manual
The Truline manual is an invaluable resource to help you select and manage cases. Also contains a section on IPR and troubleshooting cases.
Why send your money overseas?
We pride ourselves on being a 100% Australian company making Truline Aligners in Sydney, established in 1988 !
Made in Australia

Truline uses cutting edge digital design and manufacturing processes that assures you get the best quality product.
Latest Digital Technology
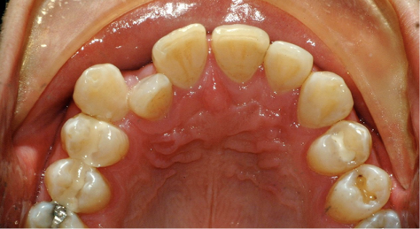
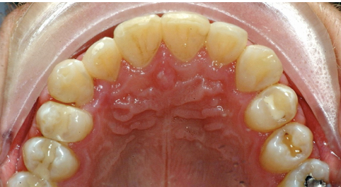
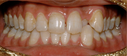
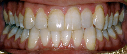
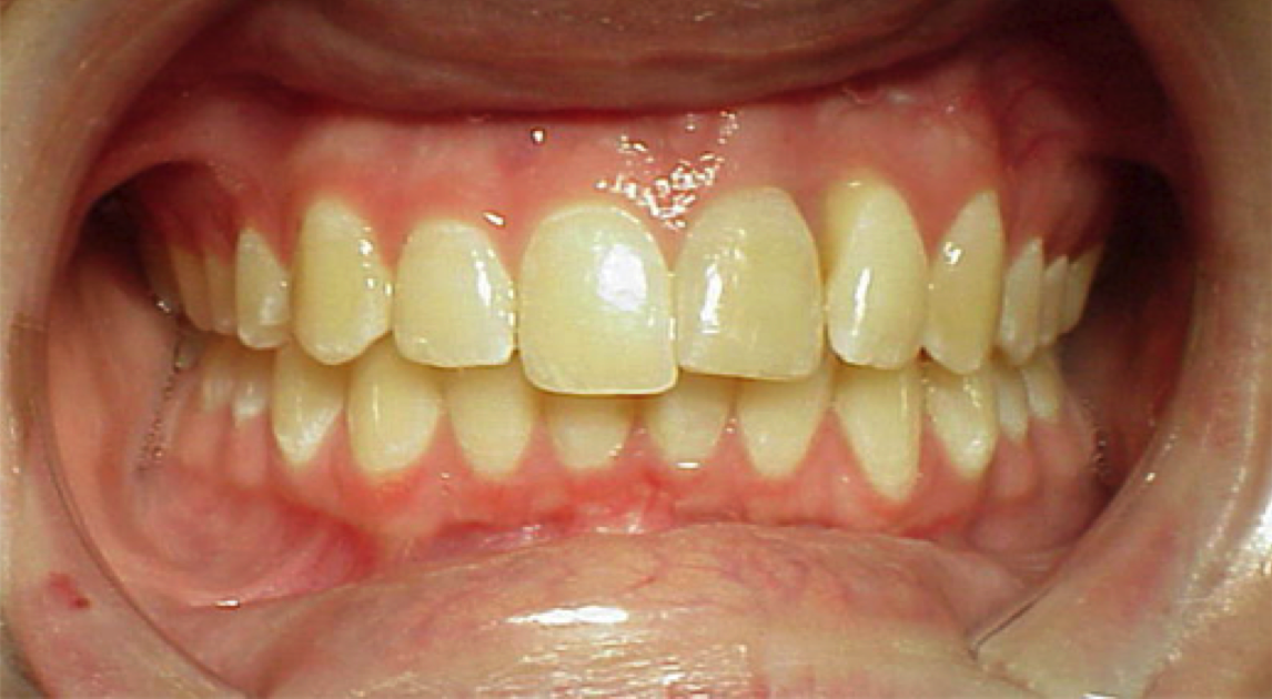
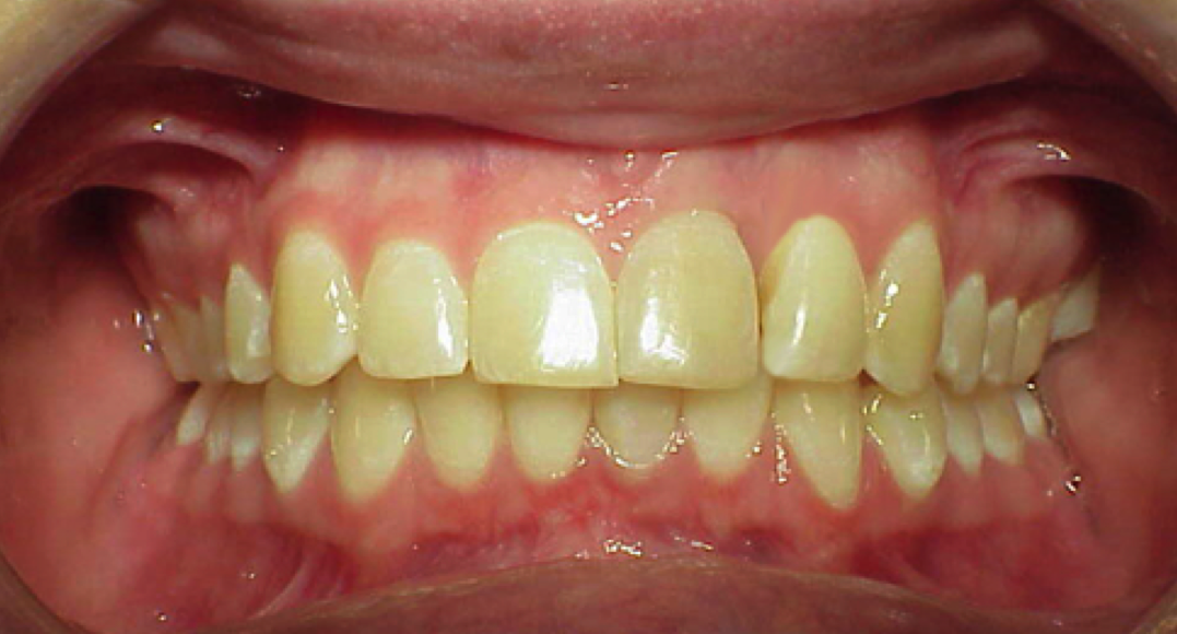
Tap on an image to see before and after results with Truline Aligners
Back to top
© 2005-2020 Fabdent Products and Services Pty Ltd Trustee
Want to contact us?
Contact us today for more information.
Affordable Quality
Price is only an issue in the absence of value. At Truline we offer top quality at a realistic price. The best of both worlds.
Treat Various Cases




Crowding
Spacing
Crossbite
Overbite
Start with simple cases and gradually move on to more complex ones


Now easily design and manufacture your own aligners in office in as little as one appointment!





IN Office Aligner System
With new digital technology you can make aligners in house with Truline Clear and Straight.
Aligners in one appointment
Save Money
Proven System
East to do
ONLINE CASE FORM












