THE BEST DIGITAL DENTAL MODELS

SCANNERS AND SOFTWARE SOLUTIONS

AT THE BEST PRICE

Digital DENTAL Models, SCANNERS AND SOFTWARE

 

SOFTWARE SOLUTIONS

ORTHO STUDIO™ Features

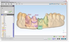
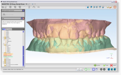
Meastro 3D Ortho Studio ST is the state of the art program that allows you to inspect edit and analyse 3D dental models scanned with the Maestro OrthoScan A50 LED

Digital 3D Scanner.


  1. Powerful - a robust and accurate instrument for editing, inspection and analysis of all patient cases.


  1. Complete - in addition to editing operations on the models, it's able to handle Patient, Surgery and Doctor info using  the AGE Database.


  1. Fast - it allows in a few minutes to perform all analysis operations.


  1. Easy to use - thanks to the wizard mode it's very simple to perform any operation. For example just few simple steps are needed for adding custom virtual bases to maxillary and mandibular models.


  1. Set up analysis points on scanned models for rapid and consistent analysis.


  1. Adjust and analyse occlusion with a palette of several 3D tools.


  1. Stitch the virtual bases in less than one minute.


  1. Analyse all patient cases with a complete set of 3D distance and measurement tools.


  1. Keep track of the complete patient history with automatic archiving of the patient cases.


   It’s easy with ORTHO STUDIO

Click  image for video demonstration

ORTHO STUDIO PRO™ Software

Coming March 2011 with amazing new features!

Contact us today for the best 3D Dental software solution available.

EASY DENTAL SCAN

Maestro Easy Dental Scan is the software provided with the line of Maestro OrthoScan A50 LED dental scanners. The software allows with one click automatic acquisition of the dental objects and creation of 3D surfaces of the acquired data entirely automatic without any user intervention. The innovative software guarantees exceptional performances fully exploiting the parallel calculation offered by the most recent multicore and multithreading technologies available on the market.




Highlights of Easy Dental Scan


  1. Easy setup - no third party software or drivers are needed.


  1. Easy config - configurable and extendible according to client needs.


  1. Hardware monitoring - constant monitoring on scanner system state: projector lamp lifetime, camera status, rotary table status, etc.


  1. Automatic clustering - individuation and automatic separation of the 3D models in case of working sessions with more dental objects in simultaneous.


  1. Autoalign - automatic alignment of the stumps on the arc.


  1. Autoalign - automatic alignment of the antagonists and bite.

SOFTWARE BY

SOFTWARE BY

Now you can import your 3D model  files into your favourite programs.

Now you can import your files into the most popular practice management and imaging programs.


Contact your software support for more information.


We will have full details available to download soon.


*Trademarks are the property of the respective owners.