Home
About
Topic List
Quiz
Help
Case Calculatorâ„¢
Contact Us
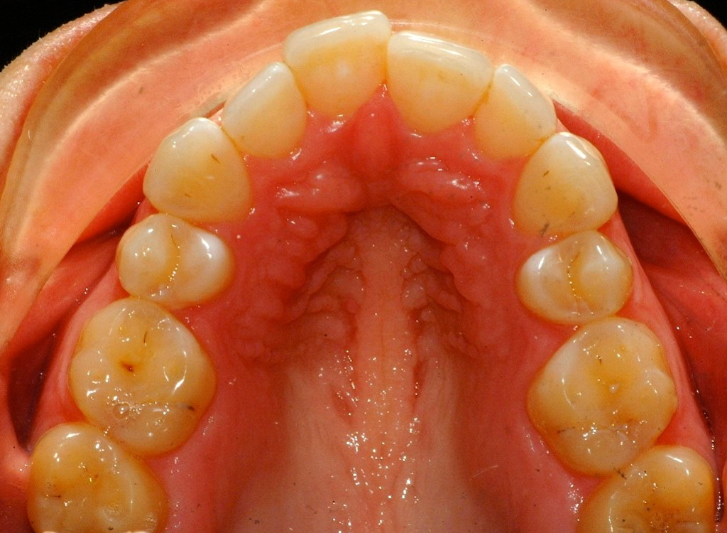
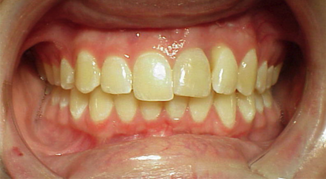
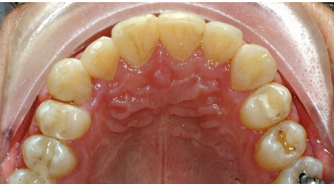
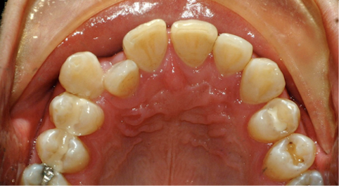
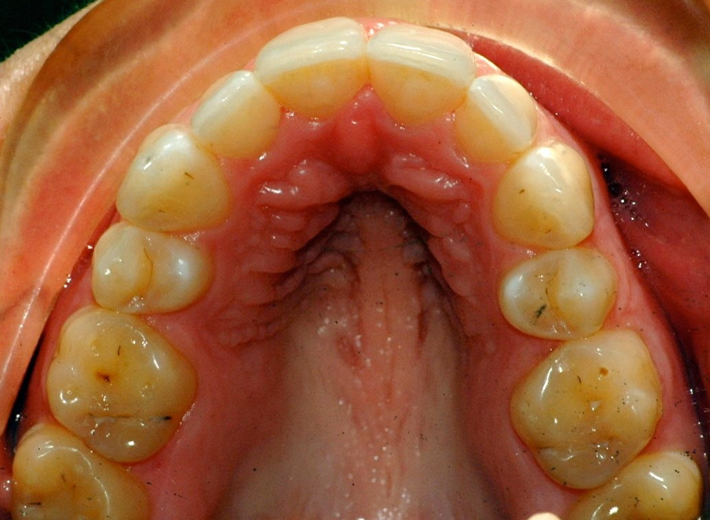
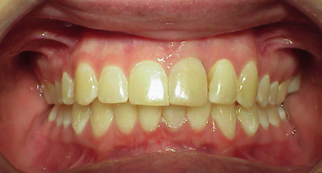
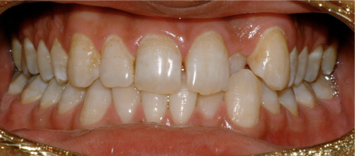
EXAMPLES
Swipe left on an image to see before and after results with Truline Aligners