ATTACHMENTS
Attachments are used for various important purposes including enhaced fit and tooth movement
Most patients when interested in Aligners do not realise that attachments will probably be needed.
It is important to inform ALL patients that attachmnets may be bonded to their teeth and that attachments are in most cases very important for successful aligner treatment.

In many cases the Truline aligners can effectively move the teeth to the desired position and grip adjacent teeth tightly. However, often aligners need extra anchorage and grip to perform movements on some teeth.

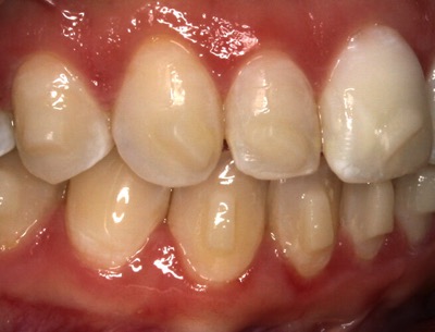
An attachment is a small block of light cured composite resin adhered to a tooth using a specially designed pre fabricated custom made installation template.

When the attachments are placed on the teeth all the aligners will have corresponding grips for these attachments to engage to help teeth properly move to the desired position. When treatment is concluded attachments are easily removed from the teeth.

Attachments come in different shapes and sizes depending on the desired function but oval and rectangular are most common and usually work the best. Sometimes specialised shapes are used to enhance movement.

Swipe left to learn about common situations that usually call for attachments.

1. Attachments to help retain aligners

2. To help tip teeth with root control

3. Simple intrusion

4. Simple extrusion

5. Rotation of round teeth

7. Lower incisor extraction

6. Translation with root control

8. Open Bite , usually quite a difficult scenario to deal with

9. Intrusion of lower anteriors

10. Using dual attachments to help close extraction spaces

11. Lingual specialised attachments

12. Enhanced attachments or often called "optimised" attachments.
Swipe left to see some of the attachment shapes possible
* Not all are used by Truline regularly

















Clinical management of attachments
Attachment templates are thermoformed from a special plastic that composite resins will not adhere to. The composite is placed into the template then fitted over the cleaned and prepared tooth. When the composite is cured the tray easily peels away leaving the attachment on the tooth.

When attachments are required we will supply templates for either the upper arch the lower arch or both arches depending on the case.
Swipe left on the images to see a demonstration of the attachment placement proceedure

1. Try in attachment template, check fit.

2. Etch area for attachment/s.

3. Wash and dry

4. Prime and bond

5. Load composite in attachment reservoirs in template.

6. Place template in mouth and light cure

7. Trim all flash and polish well

8. Refit first aligner in sequence and test seating of attachment/s.

It is of utmost importance the attachments are trimmed of flash and are true to shape.
It is possible to bond attachments to resorations such as porcelains and zirconia. Specilised surface conditioners and primers must be used. Please see movie below. For more information contact Reliance Orthodontics.

